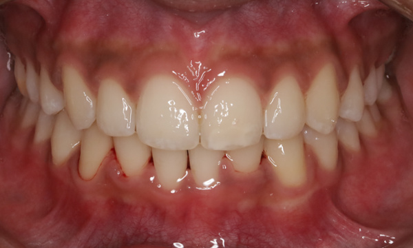
Orthodontics to treat crowding

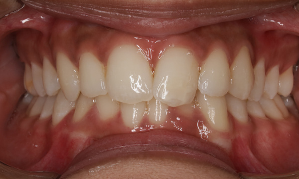
This patient was concerned with her crowding, and it was negatively impacting how comfortable she felt smiling. We did provided orthodontic treatment for her over 12 months and corrected a number of elements in her bite, and improved her crowding.

This patient was all smiles at the end of treatment, and we are very grateful to have been able to help her smile confidently.

Are You Ready to Book Your Next Dental Visit?