How Full Mouth Reconstruction Works
Full mouth reconstruction begins with a thorough evaluation of your oral health, including dental exams, digital imaging and bite analysis. Your Providence dentist will assess your teeth, gums, jaw joints and overall oral function to develop a customised treatment plan.

- Comprehensive Assessment — Review of your dental history, photographs, x-rays and digital scans to identify problem areas.
- Treatment Planning — Selection of the most suitable restorative and cosmetic procedures to achieve functional and aesthetic goals.
- Sequential Care — Treatments are often performed in stages, prioritising oral health, bite stability and comfort.
- Final Restoration — Crowns, bridges, veneers or dental implants are placed to complete your new smile.
- Maintenance and Follow-Up — Ongoing care and monitoring ensure long-term success and durability of restorations.
This structured approach ensures that every component of your smile works harmoniously for both function and appearance.
Who Can Benefit from Full Mouth Reconstruction?
Full mouth reconstruction is ideal for patients with multiple dental concerns, including:
- Worn, chipped or cracked teeth
- Missing or failing teeth
- Severe tooth decay or large restorations
- Bite misalignment causing jaw discomfort
- Desire to restore both function and appearance of the smile
By addressing these issues comprehensively, full mouth reconstruction can improve chewing efficiency, speech and oral health.
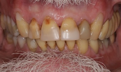
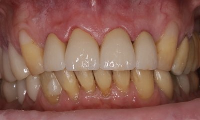
When multiple dental issues affect your teeth, gums and bite, it can impact one's ability to eat, speak and enjoy life comfortably. Full mouth reconstruction is a comprehensive approach that restores the health, function and appearance of one's entire smile. At Providence Dental Care, we combine advanced restorative techniques with personalised planning to rebuild and revitalise your teeth.