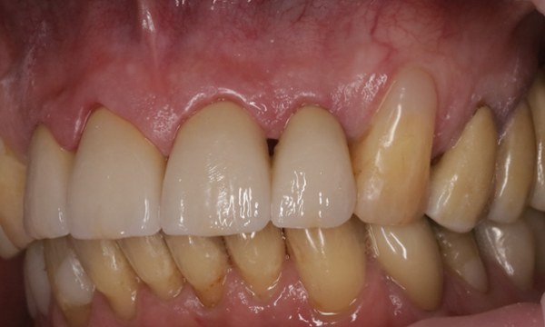
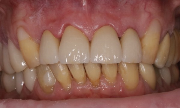
Four upper incisor ceramic crowns repairing stained and decayed teeth

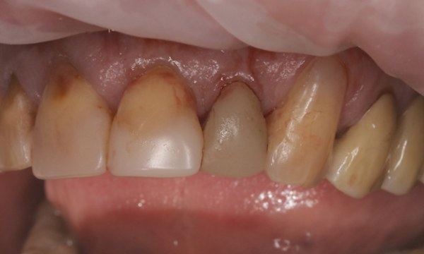
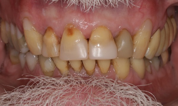
Mr TD presented with his top incisors, that were heavily restored, decayed, and discoloured. The teeth had been significantly damaged from previous fillings and ongoing decay, which affected both appearance and long term strength. One of the teeth had also been root canal treated and started to stain black as a consequence.

Our focus was to first stabilise the teeth before addressing aesthetics.

Treatment approach

• All decay was carefully removed from each tooth
• New restorative material was placed to rebuild the internal structure
• Each tooth was returned to a healthy, stable foundation
• Teeth were prepared to support full coverage ceramic crowns

This stage ensured the crowns would be supported by sound tooth structure rather than compromised fillings, ensuring that they have the best chances of a long life ahead of them.

Treatment sequence

The treatment was completed over two appointments.
• First appointment: tooth preparation and foundation rebuilding + creating temporary crowns
• Second appointment: removal of temporary crowns, and fitting and bonding of the final ceramic crowns

Material selection

High strength zirconia was selected for its reliability and longevity. Each crown was then layered with aesthetic porcelain and hand painted to achieve natural colour, translucency, and surface detail.

Final outcomes

The final result restored both form and function. The teeth now appear natural, balanced, and consistent with the surrounding dentition, while providing the strength required for everyday eating and long-term durability.

Mr TD was (and still is) extremely happy the end result, achieving a functional and aesthetic long term outcome with his new dental ceramic crowns. 

Should I book a visit to discuss crowns?

If you have damaged and discolored teeth or would just like to see if we can help you achieve an outcome like this patient did, book an examination or consultation, and our caring team in West Lakes will give you helpful guidance on if they are right for you, the process and costs.

Service Performed By:

Dr Caleb Harvie
We Warmly Welcome New Patients to Our Practice