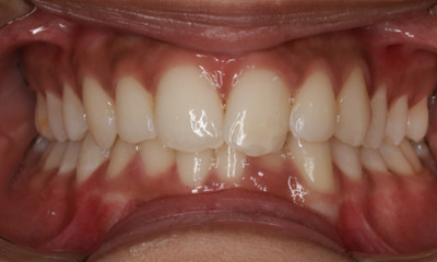
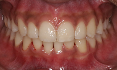
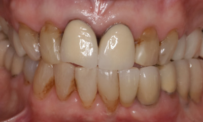
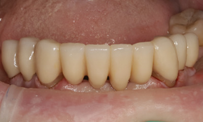
Smile Gallery

Each outcome shown here has been created in response to what the individual patient needed and what they wished to achieve. The aim is not a uniform or idealised result, but an outcome that is appropriate for that person’s teeth, health, and circumstances.

Some cases focus on strength and function. Others place greater emphasis on appearance. Many sit somewhere in between. The results reflect clinical realities, patient priorities, and the condition of the teeth at the time of treatment.

These are real cases involving real patients, treated in everyday clinical practice. We are blessed for the trust placed in us and for the opportunity to help each patient reach an outcome that was right for them.

We are so grateful to be able to help our wonderful patients in West Lakes (or wherever they travel from!), and to provide great dentistry to suit each one of them individually. If you want to join our wonderful patients in achieving some terrific before and afters, please reach out to our friendly team and we would be more than happy to discuss how we can help you in achieving your dental goals.

Have Questions? Get in Touch