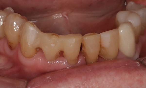
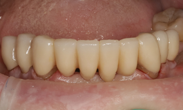
Zirconia Bridge from lower canine to canine

This patient had numerous fillings across the years on her incisors and canines. The incisors of the bottom teeth had become loose and infected, and she wanted replacement of them without implants. 

We elected to provide a bridge which held on to her canines on either side, and remove (extract) the incisors and replace them with the bridge. We also placed zirconia crowns on her premolars.

Service Performed By:

Dr Caleb Harvie
Still need an appointment?