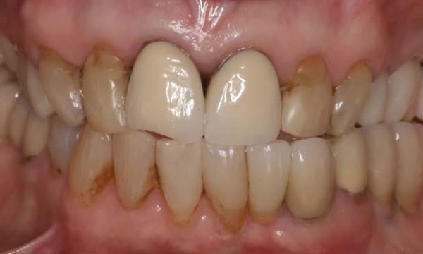
Upper canine to canine zirconia ceramic crowns

This wonderful patient presented with six upper front teeth, from canine to canine, that were heavily restored, decayed, and discoloured. Two of the front teeth had existing metal based crowns, which had chipped and discoloured. Previous restorations and decay had weakened the underlying tooth structure and affected both appearance and long term reliability.

Our focus was to first restore the health and strength of the teeth before addressing aesthetics.

Treatment approach

• Removal of the existing metal based crowns on the front incisors
• Careful removal of all decay from each of the six teeth
• Placement of new restorative material to rebuild internal tooth structure
• Return of each tooth to a healthy, stable foundation
• Preparation of the teeth to support full coverage ceramic crowns 

This stage ensured the crowns would be supported by sound tooth structure, giving them the best chance of predictable performance over time.

Treatment sequence

The treatment was completed over two appointments.

• First appointment: removal of old crowns, tooth preparation, and rebuilding of the underlying foundations
• Second appointment: fitting and bonding of the final ceramic crowns

Material selection

High strength zirconia was selected for its durability and long term reliability. Each crown was layered with aesthetic porcelain and hand painted to achieve natural colour, translucency, and surface detail. Strength and function were prioritised to support everyday eating, alongside a natural appearance.

Final outcomes

The final result restored both form and function. The teeth now appear balanced and consistent with the surrounding dentition, with improved strength and stability for long term use.

We achieved an outcome that addressed her concerns around durability, comfort, and appearance, with ceramic crowns designed to support daily function for many years to come.

Should I book a visit to discuss crowns?

If you have damaged and discolored teeth or would just like to see if we can help you achieve an outcome like this patient did, book an examination or consultation, and our caring team in West Lakes will give you helpful guidance on if they are right for you, the process and costs.

Still need an appointment?