Zirconia Crowns to fix heavily decayed and cracking molars

These molars were breaking down due to the decay and cracks that had spread beneath existing composite (tooth coloured) fillings. 

The before photo shows the teeth once we had removed the old fillings and decay, leaving only a fragile shell of enamel left. 

In between this photo and the after photo we put new, fresh filling material into the tooth to give it back it's structure. We then prepared the teeth for placement of high strength zirconia ceramic crowns to restore them. 

The blue sheet you see is called rubber dam, we use this to ensure that our special restorative materials adhere as strongly to the teeth as possible, to ensure the longest lasting outcome we can deliver. It also has the added benefit of making sure that our patients are more comfortable in to procedure, as their mouths aren't filling up with water while we work, and they can breathe, swallow, do what ever there want to do while we are working on their teeth. And anything that they do won't upset or compromise the sensitive work we are doing. Most patients love and request to have the rubber dam once they experience the difference it gives.

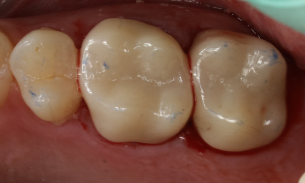
The blue spots in the after photo is an indicator that we use to show us where the teeth are contacting when they are biting.

We Warmly Welcome New Patients to Our Practice